「幼児向けのマウスピース矯正装置「マイオブレース」を使って受け口の症状と噛み合わせを正しく改善し、自然できれいな歯列に整えることができます。では早速、当院のマイオブレースの症例をご紹介しましょう。」
みなさん、こんにちは!
東京都大田区田園調布にある小児歯科・矯正歯科専門の歯科医院「ABC Dental」の院長です。
お子様の下の前歯が上の前歯よりも前に飛び出している場合、「反対咬合(下顎前突)」いわゆる「受け口」の可能性があります。
子供の受け口を放置していると、顎の成長と共に受け口が顕著に目立つようになり、顎に負担がかかって食べ物を噛みにくい、発音しにくいなどの口腔内の機能低下が起こりえます。
近年は、幼児向けのマウスピース矯正装置「マイオブレース」を使って受け口の症状と噛み合わせを正しく改善し、自然できれいな歯列に整えることができます。
では早速、当院のマイオブレースの症例をご紹介しましょう。
▽先読み!この記事で分かること
・骨格的に下顎がさらに突き出る傾向にある
・遺伝的な要因、もしくは後天的な要因の二つ
・根本的な原因にアプローチできる
・最適な年齢は3~15歳
このページで分かること
ご質問:幼児の受け口を治す方法は?
ご質問をいただきました。
ご質問者様:3歳の娘さんのお母様
3歳の娘の歯並びについて質問です。
乳歯がほぼ生え揃ってきたのですが、歯列が受け口になっているのが気になります。
夫の歯並びは下顎が出ていて受け口です。娘の顔つきや歯並びは夫に似ているので、成長したときに受け口が目立つのではないか…と今から心配です。
幼児の受け口を治すにはどんな方法がありますか?3歳からでも歯医者で受け口を治せるのでしょうか?回答をおまちしています。よろしくお願いします。
回答:マイオブレース(マウスピース矯正)の症例があります
質問に回答します。
通常、正しい噛み合わせは上の前歯が下の前歯を若干覆いかぶさっている状態にありますが、反対になっている(下の前歯が上の前歯より前に出ている)症状を「反対咬合」といいます。
下顎が前に飛び出しているので「下顎前突(かがくぜんとつ)」とも呼ばれ、いわゆる「受け口」の症状です。
子供の受け口は全体の不正咬合のうち2%程度と高くはありませんが、下顎は体の成長とともに小学生高学年頃に成長のピークを迎え、骨格的に下顎がさらに突き出る傾向にあります。
子供が受け口になる原因は、遺伝的に骨格に問題があるケースもあれば、口呼吸や舌の癖などによる後天的な要因で顎の成長バランスが崩れている可能性もあります。
そのため、お子様の受け口が気になる場合は、歯科医院にお口の状態を診てもらい、歯並びと噛み合わせを改善するために、なるべく早いうちに矯正治療を受けるとよいでしょう。
小児用マウスピース矯正装置「マイオブレース」を使って口腔周囲筋の悪習癖を取り除き、上顎の成長を促して受け口を改善し、歯並びを矯正する治療法があります。
マイオブレイス矯正は3歳の幼児も治療を受けることができ、起きている時に1時間、そして寝る時に装着し、お口のトレーニングは1日2分程度とストレスが軽減された優れた治療法です。
▽マイオブレース!の効果・仕組みについてはコチラをチェック!
子供の反対咬合・受け口とはどんな症状?
子供の反対咬合(受け口)とは、奥歯をしっかりかんだ状態でイーと言ったときに、下の前歯が上の前歯よりも前に突き出ている歯並びのことを指します。
▽子供の反対咬合・受け口の症状
・食べ物を上手く噛み切れない
・食べ物を噛みにくい
・発音が舌足らずになる、聞きにくい
子供の反対咬合(受け口)は見た目が気になる問題の他、食事・飲み込み・発音・呼吸などに問題が起こりやすく、口腔機能の低下や消化不良の原因にもなります。
子供が反対咬合(受け口)になる原因は?
子供が反対咬合(受け口)になる原因は人によってそれぞれ異なりますが、大きく分けると遺伝的な要因、もしくは後天的な要因の二つがあります。
①遺伝的に顎の骨格に問題がある
遺伝的な要因は100%ではありませんが、親御様に受け口の症状がある場合、お子様に顎骨の大きさや歯の大きさが影響するため、お子様も受け口になる可能性があります。
②日常の癖や習慣によって起こる
骨格に問題がなくても、長期間の指しゃぶり、舌で前歯を押し出す癖、口呼吸といった日頃の習慣によって、徐々に歯の位置が前に押し出され、受け口になることがあります。
子供の成長に合わせて固めの離乳食を意識して顎を鍛えることで上下の顎のバランスは整っていきますが、乳歯が生え揃った3歳の段階で受け口の症状があれば、治療の対象になります。
▽子供の歯並びが悪くなる癖はコチラをチェック!
子供の反対咬合(受け口)を放置するリスク
▽子供の反対咬合(受け口)を放置すると以下のような症状が起こりえます。
・成長につれて受け口が目立つようになる
・食べ物を噛みにくい、咀嚼が難しい
・発音がしにくい(サ行・タ行)
・顎関節症リスク
・口が閉じにくい
小学生高学年頃から下顎が成長のピークを迎えて、思春期頃に受け口が目立ち始めるため、見た目が気になる問題も起こりえます。
食べ物を噛んだときの顎への負担が大きくなり、顎の骨の吸収や顎が痛くなる顎関節症リスクも高まるので、早めの治療開始が推奨されます。
▽子供の反対咬合を低年齢で治療するメリットはコチラ
子供の反対咬合・受け口の治療法「Myobrace(マイオブレース)」
子供の反対咬合・受け口の治療法はマウスピース矯正やフェイスマスクなどの専用器具を使って治療することが可能です。
「Myobrace(マイオブレース)」はマウスピース型矯正装置をつけて、Activity(アクティビティー)と呼ばれるトレーニングを並行して行うことで歯並びを改善することができます。
▽「Myobrace(マイオブレース)」の特徴
・マウスピース型の矯正装置
・口腔習癖を改善する
・痛みや違和感が少ない
・抜歯リスクが少ない
・対象年齢は乳歯列期の3歳頃から
・費用相場は約20~60万円
・受け口の治療期間は1~3年程度が目安
マイオブレイスは直接歯を動かすというよりも、歯並びを悪くする原因となる悪習慣、口呼吸や舌やお口の筋肉の使い方(筋機能)改善し、顎骨のバランスを整える治療法です。
受け口になった根本的な原因にアプローチできるため後戻りが少なく、口腔習癖が改善されるため、健康上のメリットも期待できます。
公的な医療保険制度が適用されない自由診療となります。詳しくは事前に歯科医師や担当スタッフに確認しておきましょう。
▽マイオブレースについて詳しくは公式サイトをご覧ください。
参照:マイオブレース・システム
【小児矯正の症例】反対咬合|マイオブレースの症例をご紹介
ここからは、マイオブレースによって反対咬合を改善した当院の小児矯正の症例をご紹介します。
▽小児矯正の症例
・初診時:3歳9か月
・性別:女の子
・診断結果:反対咬合(口唇閉鎖不全症 叢生もあり)
・治療内容:マイオブレース(マウスピース矯正)
・装着時間:【開始時】 1日5分~10分、就寝時
【9か月後】 1日30分~40分、就寝時
・治療期間:1年1か月
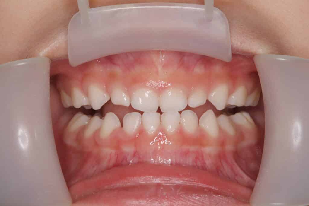
症例写真:治療前開始時(3歳9か月)
奥歯をイーっと噛んだ時に、下の前歯が前に出ている反対咬合の症状があります。
幼い時ほど顎の骨が柔らかいため、舌の位置や舌の使い方などによって、毎日弱い圧力がかかり、歯の位置と顎のズレが起きたと考えられます。
マイオブレースは保育園や幼稚園に行くときや食事の時に装着する必要がないためストレスや負担が少ないため、本人と保護者の希望もあり、矯正治療を開始しました。
マウスピースは日中1日5分~10分と就寝時に装着をしてもらいました。
症例写真:9か月後(4歳6か月)
マウスピースにも慣れてきたので、装着時間を増やし日中1日30分~40分と就寝時に装着してもらいました。
受け口のお子様は舌が下方に位置していることが多いです。
マイオブレースの上部にはタグが付いており、舌でタグを触れると舌が上方に誘導されて、舌を正しい位置に改善される仕組みです。
口を閉じた状態で装着するため、周辺の筋肉(口輪筋)が鍛えられて、自然と鼻呼吸へと改善されます。
マイオブレースの装着と並行して、お口のトレーニング(口腔筋機能療法)を行います。
トレーニングでお口周りの筋肉を鍛えることで、上顎骨の前方成長を促し、本来の自然でキレイな歯列へと整えていき、舌を正常な位置へと誘導します。
症例写真:現在(4歳10か月)
治療開始から1年1か月が経過しました。
上顎骨の前方へ成長が促されて、安静時に舌の位置が正常になり、反対咬合(受け口)の症状が改善されました。見た目も改善されて、洗練されたお顔つきになったのもポイントです。
▽マイオブレースの効果
・口腔習癖を改善する
・舌の位置を改善する
・歯並びを改善する
・骨格を適切に促す
・口腔内機能の向上
・鼻呼吸への改善
・安静時の正しい舌の位置
・健康的な食事ができる
治療完了後は再発を予防するために、定期健診で継続的に様子を見る必要があります。
この症例のように、子供の反対咬合は下顎が過度に成長する前に、3歳~6歳頃までの早期治療の開始されると根本的な原因にアプローチした治療が可能になります。
※ マイオブレース治療は担当の歯科医の指示に従ってください。実際の効果と治療期間は人によって異なります。
子供の反対咬合(受け口)は早期治療が大事な理由
子供の反対咬合(受け口)は早期治療が推奨されます。
大人になってから矯正治療を始める場合、既に上下の顎骨の成長が止まっているため、顎骨に問題がある場合は、抜歯が必要となり、本格的な外科手術を伴う可能性があります。
子供のうちにマイオブレースで矯正治療を始めることで、根本的な原因にアプローチした治療が可能になり、顎の成長を利用しながら早期改善が期待できるのです。
ほとんどの症例で抜歯やブラケット矯正をせずに、理想的な歯列へと無理なく移動させることができる治療法です。マイオブレース治療に最適な年齢は3~6歳となっています。
お子様が受け口かな?と感じたら、かかりつけの歯科医院に相談して、正しい口腔習癖を身に付けて、お口と体の健康のためにも矯正治療を検討されることをおすすめします。
子供の反対咬合(受け口)のご相談は「ABC Dental」へお気軽にどうぞ
当院では小児矯正のマイオブレイスシステムに積極的に取り組んでおり、健康に優位な骨格を形成することに重きを置いた治療を行っております。
顎骨の成長を利用したマイオブレイス治療は、お子様が普段通りに学校生活、日常生活を送ることができるため、ストレスを最小限に抑えた優れた矯正方法です。
推奨対象年齢は3歳~6歳となり、当院では3歳から治療することが可能です。楽しみながら真面目に頑張ってくれるお子様が多く、よい治療結果の症例も増えております。
お子様の歯並びが気になる方は、ぜひお子様と一緒に大田区田園調布にある小児歯科・矯正歯科専門「ABC Dental」の無料カウンセリングをご利用くださいませ。
まとめ
今回は子供の反対咬合をマイオブレースで改善した症例をご紹介しました。
東雪谷、南雪谷、雪谷大塚町、上池台、久が原、南馬込、北馬込、西馬込、東馬込、仲池上、北嶺町、東嶺町、西嶺町、池上、下丸子などのエリアからも通いやすい小児歯科医院です。
早期に歯科矯正治療を受けることは、歯並びをきれいに整える他にも、顎と顔の発育・成長を適切に促して、お口と体の健康上に大きなメリットを与えてくれます。
どうぞよろしくお願いいたします。
