叢生(デコボコ歯)の治療症例をご紹介します。7歳1ヶ月からインビザラインと筋機能療法(MFT)を併用、抜歯なし、1日18時間装着で治療を行ったケースです。
叢生(そうせい・デコボコ)についての症例3|crowding-03(00000000)
年齢: 小学生(7歳1か月)
装置: インビザライン
併用: 筋機能療法(MFT)
[ez-toc]
叢生 症例 Case 3
7歳1ヶ月から開始
主訴:歯並びが悪い、デコボコの歯並びで永久歯が生えるスペースがなさそうなので改善したい
診断名:叢生(そうせい)
治療装置:インビザライン+筋機能療法を併用し治療
▶
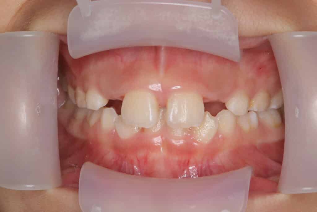
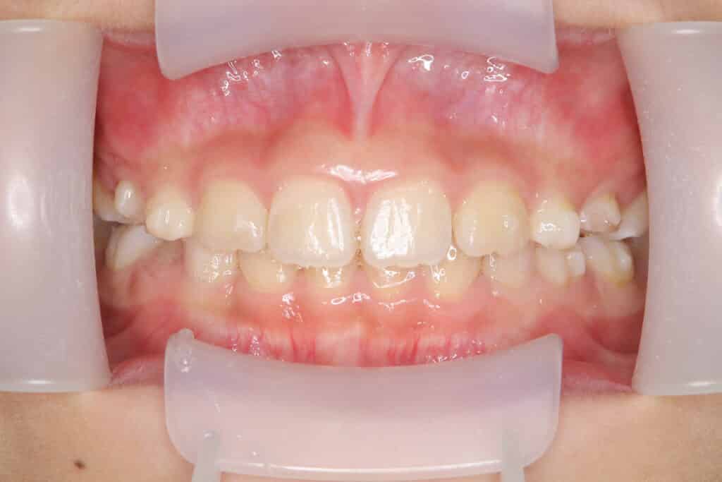
※上記は治療前後の症例写真です。治療前(7歳1か月)→治療後(1年9か月経過)
叢生は日本人で最も多い不正咬合の歯並びとなっており、現代の子供たちのほとんどに叢生がみられるといっても過言ではありません。お子様がインビザライン(マウスピース矯正)によって歯並びと噛み合わせを改善したケースをご紹介します
子供の歯が重なって生えてきたり、歯列がガタガタ・ボコボコになっている場合、叢生(そうせい)と呼ばれる不正咬合の可能性があります。
現代の子供たちは、柔らかく小さくカットされたものを食べる機会が多く、逆に歯や顎を丈夫にする硬いものをしっかり噛む機会が減ったため、顎の骨が小さくなっている傾向にあります。
そのため、顎骨が十分に成長せず、歯がきれいに並ぶスペースが足りなくなり、歯列がガタガタ・ボコボコになってしまうケースが多いのです。
実際に、叢生は日本人で最も多い不正咬合の歯並びとなっており、現代の子供たちのほとんどに叢生がみられるといっても過言ではありません。
そこで今回は、叢生の症状があったお子様がインビザライン(マウスピース矯正)によって歯並びと噛み合わせを改善したケースをご紹介しましょう。
▽先読み!この記事で分かること
・インビザラインは痛みや違和感が少ない
・他の人から気づかれにくい
・虫歯のリスクが少ない
・口内炎や傷ができにくい
・装着時間は1日20時間以上
・治療開始適齢は6歳頃の「混合歯列期」
ご質問:子供の歯並びがガタガタです…どんな治療法がありますか?
ご質問をいただきました。
ご質問者様:6歳の息子さんのお母様
息子の歯並びについて質問です。大きな八重歯があって、歯並び全体がガタガタしているので矯正した方がいいかな?と思っています。
サッカー部に入っているので、運動をしながら続けられる矯正方法があったら教えていただきたいです。
子供のうちに矯正すれば、治療期間は短くて済みますか?ご回答お待ちしています。
回答:インビザラインはスポーツをされているお子様に適した矯正法です
質問に回答します。
歯がデコボコに生えている場合、「叢生(そうせい)」と呼ばれる不正咬合の可能性があります。八重歯も叢生の一種です。叢生は「乱杭歯(らんぐいば)」とも呼ばれます。
子供が叢生になる原因は、歯の大きさに対して歯がきれいに生えるスペースが足りないため、歯と歯が重なって生えてきたり、ねじれて生えてくるようになります。
現代の子供たちは柔らかい食べ物、小さくカットされたものを食べることが多く、昔と比べると咀嚼回数が減っており、顎の成長不足によって叢生になる子供が増えているのです。
歯と歯が重なっているため虫歯・歯周病になりやすく、噛み合わせが悪いために顎骨に負担がかかり、顎関節症のリスク、頭痛、肩こりなど体への影響を及ぼすことがあります。
お子様の叢生の適切な治療方法は、歯科医院の検査と診断が必要になりますが、スポーツをされている場合、取り外し可能な「マウスピース矯正」が選択肢に入るでしょう。
マウスピース矯正の代表的な「インビザライン」は運動中や食事中はご自分で取り外すことができ、通常通りの学校生活を送れるためストレスがなく続けやすい治療法です。
インビザラインの治療期間は叢生の症状と程度によって異なりますが、一般的には1年~1年半が目安です。子供は顎骨が柔らかいため、成長を利用した根本的な治療が可能になります。
一度、歯科医院にお口の状態を診てもらい、適切な医師の判断のもと、矯正治療の方法について説明を受けて検討されることをおすすめします。
子供の叢生(そうせい)はどんな症状?
▽子供の叢生(そうせい)は以下のような症状です。
・歯並びがデコボコ・ガタガタしている
・歯と歯がすき間なく並んでいる
・前歯が重なって生えてきた
・歯がねじれて生えてきた
叢生は子供の歯並びの中でも最も多い不正咬合となっており、全体の80%を占めています。
乳歯がある時期に歯と歯の間に全くすき間がない場合は、6~8歳頃に歯が生え変わった後に歯列がガタガタになる可能性があります。
永久歯は乳歯よりも約1.2倍ほど大きいため、乳歯の段階ではすき間が開いているくらいがちょうどよいので、乳歯がぴったりと並んでいる場合は早めに歯科医院に相談しましょう。
子供の歯並びが叢生になる原因は?
▽子供の叢生は主に以下の原因があります。
・遺伝的に顎骨が小さい
・顎の成長・発育不足
・歯が大きく、顎が小さい
・乳歯を早期に失った
・鼻炎などによる口呼吸
・生まれつき歯の本数が多い
土台となる顎骨に対して、歯が大きい場合は歯がきれいに並ぶスペースが足りないため、歯が重なったりねじれて生えてくるため、歯列が乱れてしまいます。
その他にも、乳歯を虫歯で早期に失った場合や指しゃぶり・舌で歯を押し出す癖・口呼吸の癖・習慣があると歯列がデコボコ・ガタガタになる原因となるので注意が必要です。
子供の叢生を放置するリスク
叢生は歯並びが悪いという見た目だけの問題ではなく、口腔内環境が悪化したり、体への影響を及ぼすことがあり、デメリットが多いです。
▽叢生を放置するリスク
・歯がガタガタしているため歯みがきがしくい
・虫歯や歯周病になりやすい
・ものを噛みにくい、咀嚼が難しい
・発音が不明瞭になることがある
・顎骨への負担が大きくなる
・成人矯正で抜歯が必要になる可能性が高い
正常な歯並びは全ての歯を使って均等に噛むことができますが、叢生は噛み合わせに問題があり、一部の歯へ大きな負担がかかり、年齢と共に歯が削れたり変形するリスクがあります。
また、日常生活では重なり合った歯をブラッシングするのが難しく、虫歯や歯周病、口臭のリスクが高くなり、食事の際には噛みにくい、発音しにくいといった問題も起こりえます。
叢生は大人になってからでも治療可能ですが、顎骨の成長が止まっているため、健康な歯を抜かなければいけない可能性が高く、治療期間も長くなるデメリットがあります。
子供のうちに矯正治療を始めると、顎骨が柔らかいため抜歯をせずに改善できる可能性が高く、根本的な原因からアプローチした治療が可能になるのです。
子供の叢生の治療法「インビザライン」のご紹介
子供の叢生・八重歯の治療法は矯正装置によって歯列を横に広げて、歯がキレイに並ぶように顎の骨の成長を適切な方向へ促す必要があります。
マウスピース矯正装置「インビザライン」は透明で薄いプラスチック製の矯正装置を使い、永久歯が正常に生えるためのスペースを確保し、歯並びと噛み合わせを改善する治療法です。
マウスピースの装着時間は1日20時間以上、スポーツ時や食事、歯磨きをする時には自分で取り外しができるので、通常通りの日常生活、学校生活が送ることができます。
インビザラインは患者様の歯並びの症状や口腔内の状態に合わせて、8つのプラン(パッケージ)を展開しています。
子供専用には「インビザライン・ファースト矯正」がありますが、症状に合わせて従来のタイプも選ぶことができます。
・従来の「インビザライン」…永久歯列が生え揃った第二期治療のみ対応
・子供用プラン「インビザラインファースト」…永久歯と乳歯が混在する混合歯列期(第一期治療)に対応
※対象年齢:6〜10歳
【小児矯正の症例】 子供の叢生|インビザラインの症例

では早速、子供の叢生をインビザラインで改善した当院の症例をご紹介しましょう。
▽小児矯正の症例
・初診時:7歳1か月
・性別:男の子
・診断結果:叢生
・治療内容:インビザライン(マウスピース矯正)
・抜歯:なし
・装着時間:1日18時間装着
・治療期間:1年9か月
症例写真:治療前(7歳1か月)
小学生男児の歯並びが悪いことを親御様が気にされて歯並び相談に来院されました。
下の前歯のデコボコや歯と歯の間に隙間があるすきっ歯の症状も見られました。
診断の結果、歯の大きさに対して顎の骨が小さく、永久歯がデコボコに生えてくると予測されるため、取り外しのできるインビザラインによる矯正治療を開始しました。
症例写真:現在【現在】(1年9か月経過)
マウスピースを1日18時間装着していただき、お口周りの筋肉を上手く使えるように、お口の筋肉トレーニングも同時に進めて、舌の位置が改善されました。
ご本人の努力もあって、上下の顎骨を大きくすることができ、初診時と比べて歯がきれいに並び、噛み合わせも良好に改善しました。
歯磨きの指導もさせていただき、毎日のブラッシングも丁寧にできるようになり、食後の習慣となったので口腔内環境が良く、治療がスムーズに進みました。
子供の叢生のインビザライン矯正は何歳から治療できる?
インビザライン矯正の治療開始時期は歯科医院の検査と診断によってそれぞれ異なりますが、
一般的には乳歯が永久歯に生え変わる6歳頃の「混合歯列期」に行うと理想的です。
上顎の前歯が永久歯に生え変わったころに歯科医院へ相談すると、上下の顎のバランスを考慮して治療計画を立てることができます。
個人差はありますが、混合歯列期(乳歯と永久歯が混在している)は6歳から12歳くらいとなり、お子様がマウスピースを自分で取り外したり、管理ができる年齢でもあります。
なるべく早い時期にインビザライン矯正を始めることで、抜歯する必要性は少なく、顎の成長を利用しながら顎骨を広げていき、自然にきれいな歯並びに改善することができます。
子供の叢生のインビザライン矯正にかかる費用と期間
子供の叢生のインビザライン矯正にかかる費用と期間は以下の通りです。
・治療期間:1年~1年半
・費用の目安:60万円~100万円
※実際の治療期間と費用は、患者様の叢生の状態、治療の難易度、歯列の成長・発育、そして歯科医院の治療方針、使用する治療装置によって異なります。
気になる方は歯科医院にお口の状態を見てもらい、歯科医から適切な治療方法の説明を受けて検討されることをおすすめします。
子供の叢生はインビザラインで早期治療するメリット
子供の叢生はインビザラインで早期治療すると以下のメリットがあります。
・痛みや違和感が少ない
・他の人から気づかれにくい
・通常通り、学校生活、日常生活が送れる
・歯磨きがしやすい
・虫歯のリスクが少ない
・口内炎や傷ができにくい
従来の固定式の装置(ワイヤー矯正)の場合、食事中にはどうしても痛みや違和感があり、また矯正中であることが一目で分かるため、ストレスを抱えるお子様もいらっしゃいます。
インビザラインはそういったストレスは少なく、痛みや違和感が少ないのですぐに慣れて、装置が目立たないので生活の一部として取り入れやすい点がメリットです。
普段通りに食事や歯磨きができるので、お口の中は常に衛生的に保つことができ、スポーツや楽器の演奏などにも影響が少ないのも嬉しいポイントです。
子供の叢生はインビザラインで治らないケースはある?
子供の叢生はインビザラインの症例数が多くありますが、患者様の叢生の状態によっては適していないケースもありますので、歯科医院の検査と診断が必要です。
一般的には、混合歯列期に前歯にガタガタがある症例は、インビザラインで矯正することが可能です。
ただし取り外しが可能な矯正装置については、決められた装着時間を守らなければ、適切な治療結果が得られませんので、患者様の自己管理も大切になります。
インビザライン矯正後は、歯並びを維持して後戻りしないように保定装置(リテーナー)と呼ばれるマウスピースを入れておく必要があります。
よくある質問(叢生の症例:インビザライン+筋機能療法)
7歳1ヶ月からのインビザライン開始は早すぎませんか?
混合歯列期(乳歯と永久歯が混在)は顎の成長を生かしやすく、適応ケースでは早期からのアライナー治療が有効です。適応や進め方の基礎知識は6〜12歳の矯正情報(小学生)と、一期治療に特化したインビザライン・ファースト(一期治療)をご確認ください。
ワイヤー矯正と比べて、子どもにインビザラインは本当に効果がありますか?
症例選択と装着管理が整えば、叢生の改善に十分な効果が期待できます。特徴や違いはインビザラインとワイヤー矯正の違いで詳しく解説しています。
なぜ「筋機能療法(MFT)」をインビザラインと併用するの?
叢生の背景にある口呼吸・低位舌・誤嚥下などの機能を整えると、治療の安定性が高まります。トレーニングの内容は筋機能トレーニング(MFT)や、関連症状のお口ポカン(口唇閉鎖不全)をご覧ください。
1日の装着時間は?「寝る時だけ」でも効果はありますか?
アライナーは基本的に長時間の装着を必要とします。「寝る時だけ」で十分か迷う方は、装着時間の考え方をまとめた装着時間の注意点をご確認ください。
学校やスポーツ中はどうすればいい?
運動時も多くの場合は装着継続が可能です。実践上のポイントはインビザラインを装着したままスポーツはOK?をご参照ください。
取り扱いと清掃は難しい?
アライナーは毎日の洗浄と保管ルールを守れば清潔に保てます。
型取りが苦手です。インビザラインの作製はどう行いますか?
当院では口腔内スキャナー(iTero)によるデジタル印象で、嘔吐反射が強いお子さまでも負担を軽減できます。詳しくはiTero(アイテロ)をご覧ください。
痛みはありますか?トラブル時の対処は?
新しいアライナー装着直後は締め付け感が出ることがあります。痛みの出やすいタイミングと対処は小児矯正の痛みと対処法、装置に関するよくあるトラブルと回避策は「小児矯正トラブル対処ガイド」をご参照ください。
治療途中で前歯にすき間ができました。大丈夫でしょうか?
歯を移動させる工程で、ステージ途中に一時的な隙間が生じることがあります。背景と考え方は「治療中に前歯がすきっ歯に」やすきっ歯(空隙歯列)をご覧ください。
どのくらいの期間・通院頻度で進みますか?
叢生の程度・成長のペース・装着管理・MFTの定着度で変わります。進め方の基本はインビザライン・ファースト(一期治療)の概要をご参照ください。
装着を忘れがちで続けられるか不安です
家庭内の声かけやルーティン化、記録の仕組みづくりで定着しやすくなります。実践的な工夫は「忘れっぽい子のためのアプローチ」をご参考ください。
治療後の「後戻り」を防ぐには?
歯を並べた後は、適切な期間の保定装置(リテーナー)と、MFTの継続が重要です。仕組みと対策は後戻りの原因と防ぎ方にまとめています。
費用と支払い方法は?
費用の目安や含まれる内容は料金プランをご確認ください。当院はクレジットカードによるオンライン決済のみで、分割支払いには対応していません。
まずは何から始めればよい?(当院の初診フロー)
当院は初診の方は全員「電話カウンセリング」必須です。手順ははじめての方へ|初診の流れをご確認のうえ、「予約・お問い合わせ」から日程をご指定ください。
通院アクセスは?(田園調布/自由が丘/武蔵小杉方面など)
当院は東急東横線・目黒線「田園調布」から徒歩圏で、目黒区・世田谷区・(神奈川県)武蔵小杉からも通院しやすい立地です。詳しくはアクセスをご覧ください。
似た症例も見たい・治療イメージを掴みたい
叢生の他症例は7歳9ヶ月|拡大床+インビザライン、6歳10ヶ月|拡大床+筋機能療法でもご紹介しています。全体は症例一覧をご覧ください。
※本症例は一例であり、結果・期間は個人差があります。最終的な治療方針は、検査・診断後にご提案します(初診の流れ)。
