上顎前突(出っ歯)についての症例1|protrusion-01(05074629)
年齢: 小学生(10歳7か月)
症状: 上顎前突(出っ歯)とは
装置: インビザライン
併用: 筋機能療法(MFT)
上顎前突 症例 Case 1
10歳7ヶ月から開始
主訴:顎の前後バランスが気になる、
診断名:上顎前突
治療装置:インビザラインと筋機能療法を併用
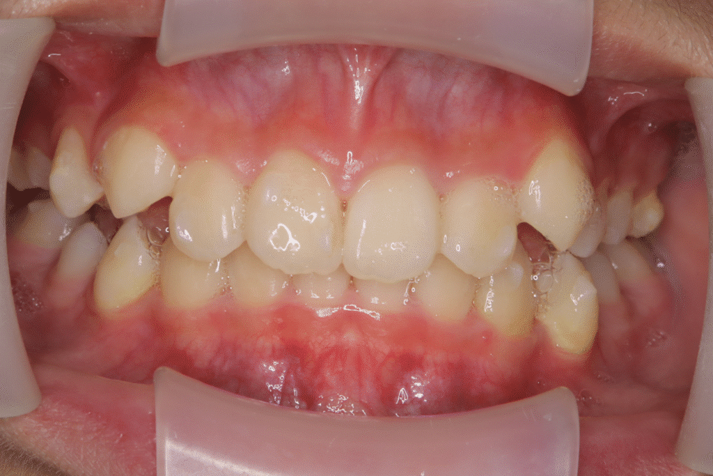
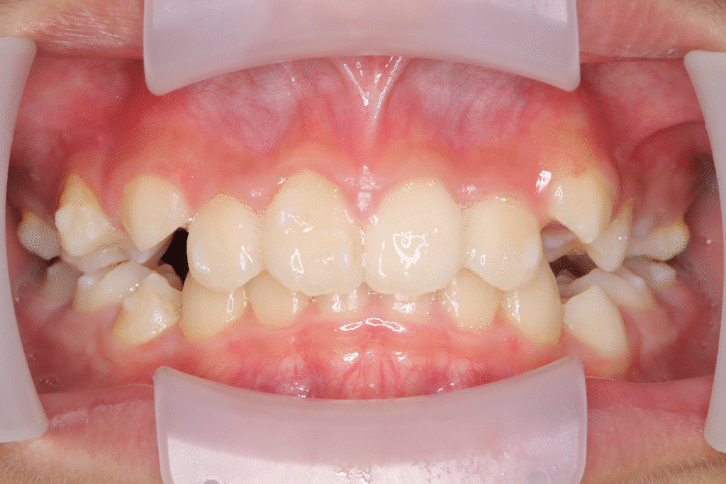
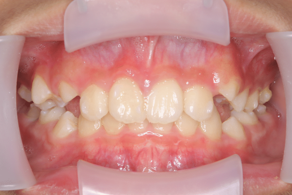
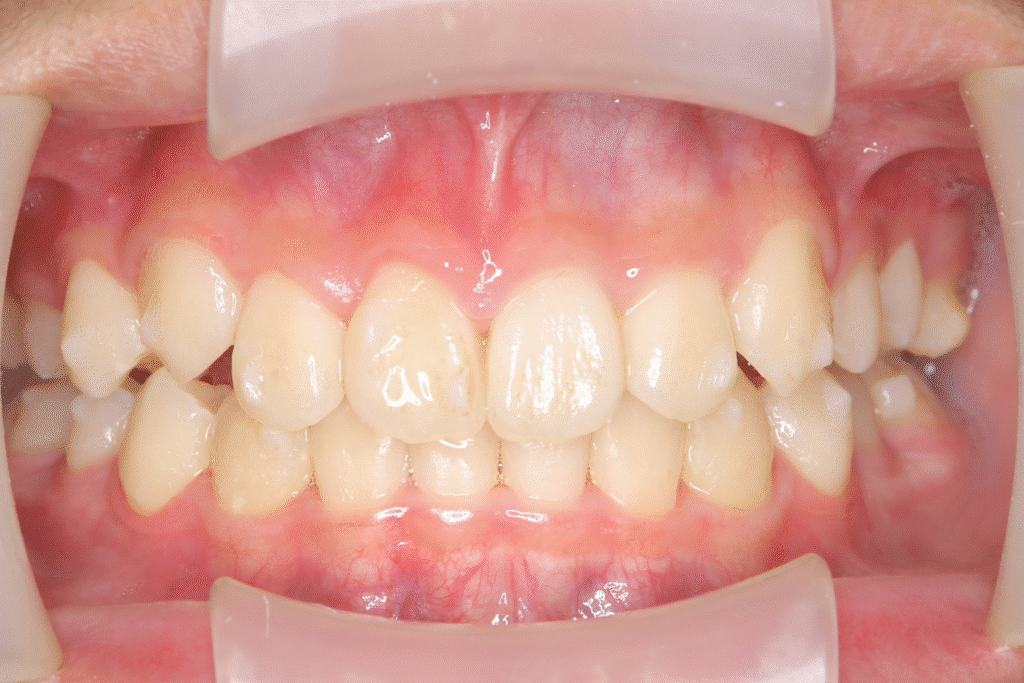
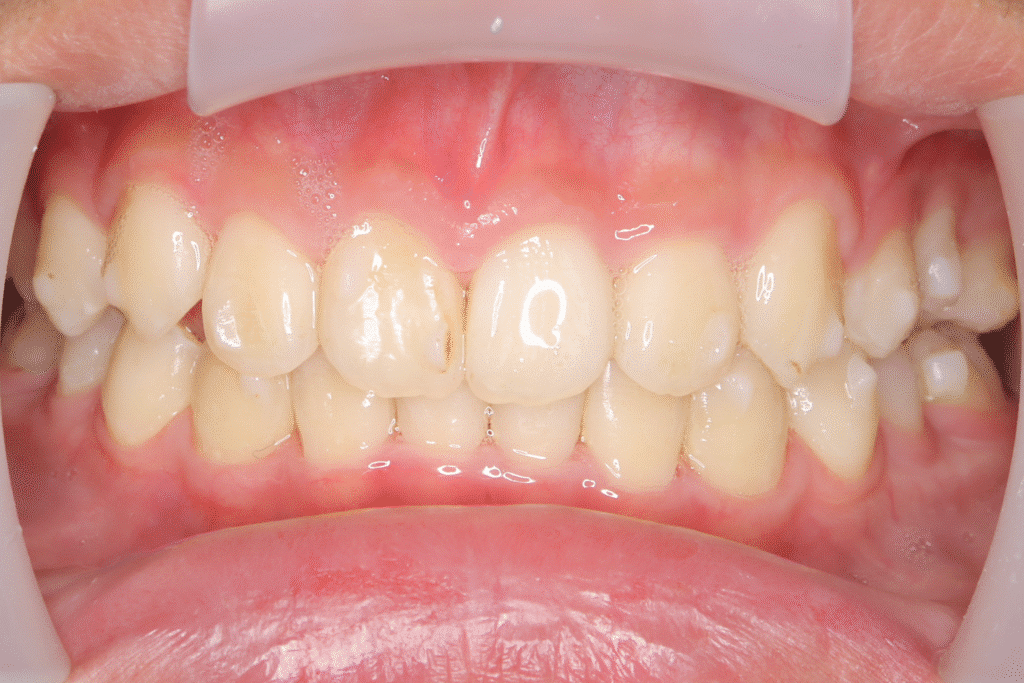
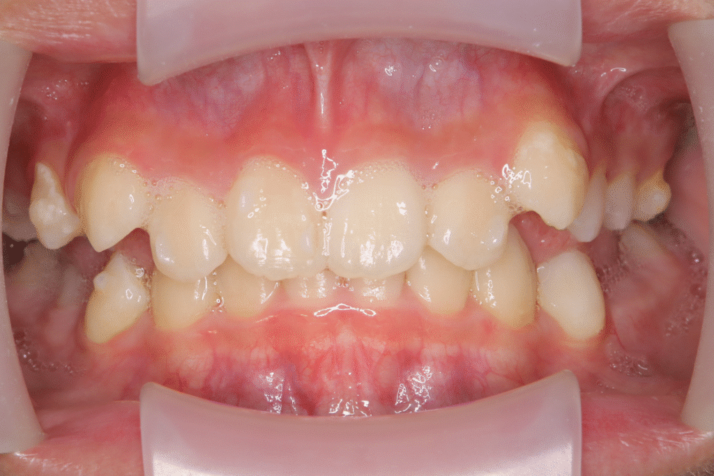
上顎前突(9歳7ヶ月)
3Dスキャン撮影した
開始前の画像です(開始12ヶ月前)
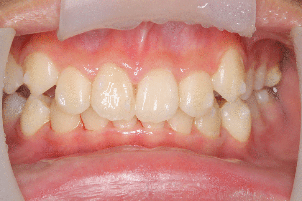
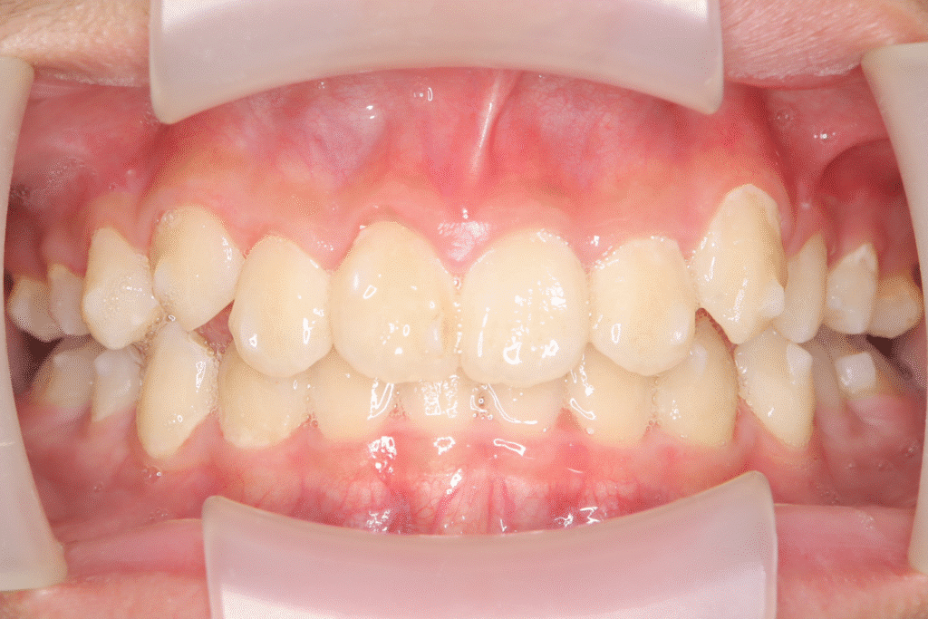
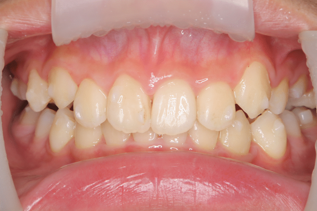
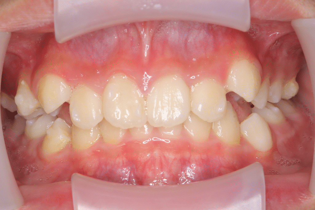
上顎前突(9歳7ヶ月)
3Dスキャン撮影した
開始前の画像です(開始12ヶ月前)
▼
ここから下が矯正開始後の症例写真です
▼
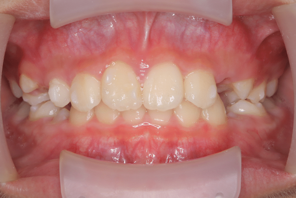
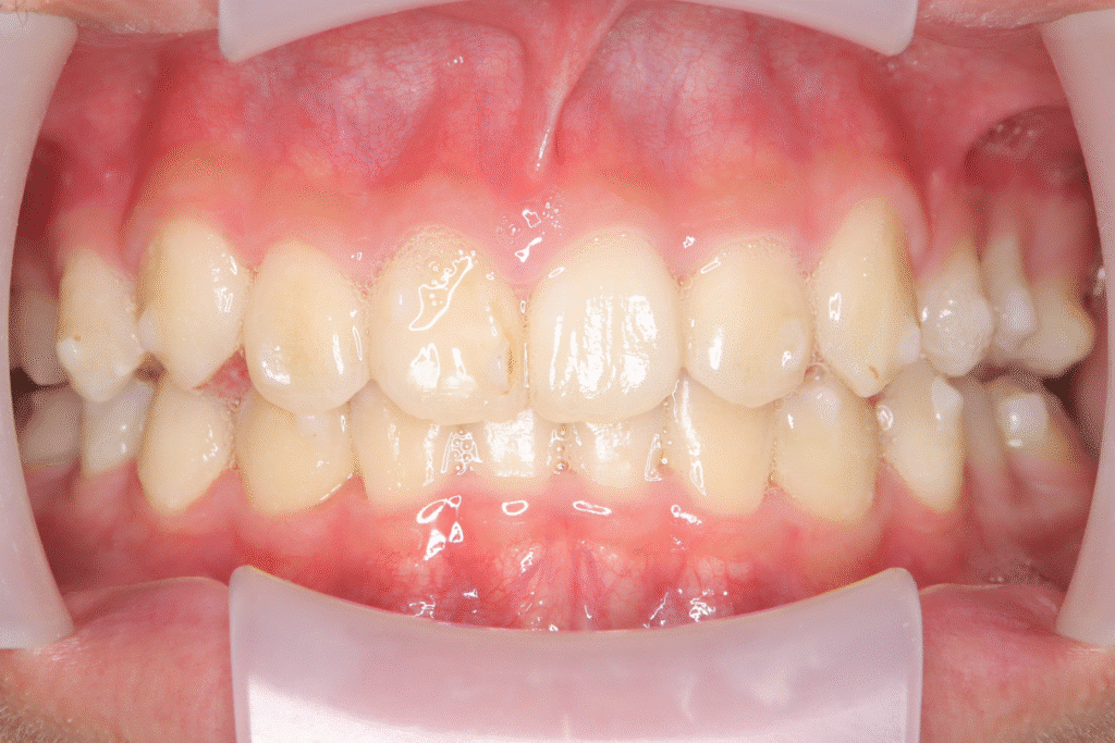
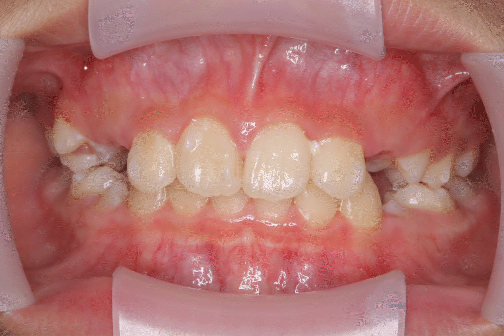
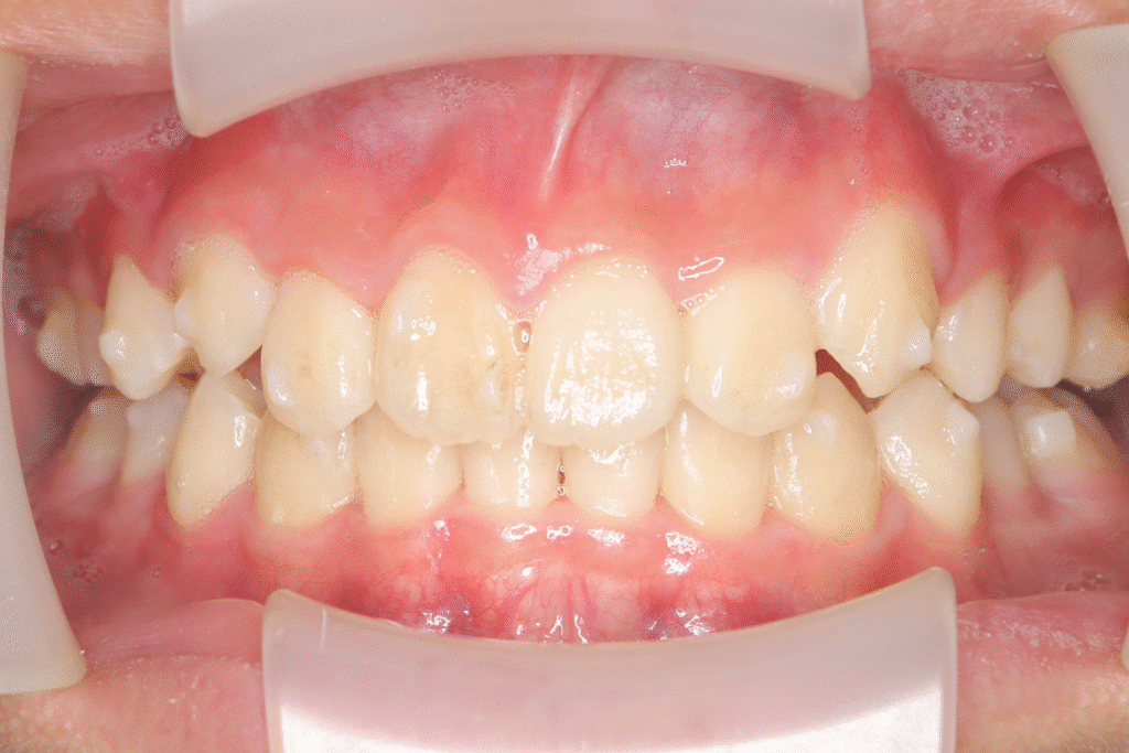
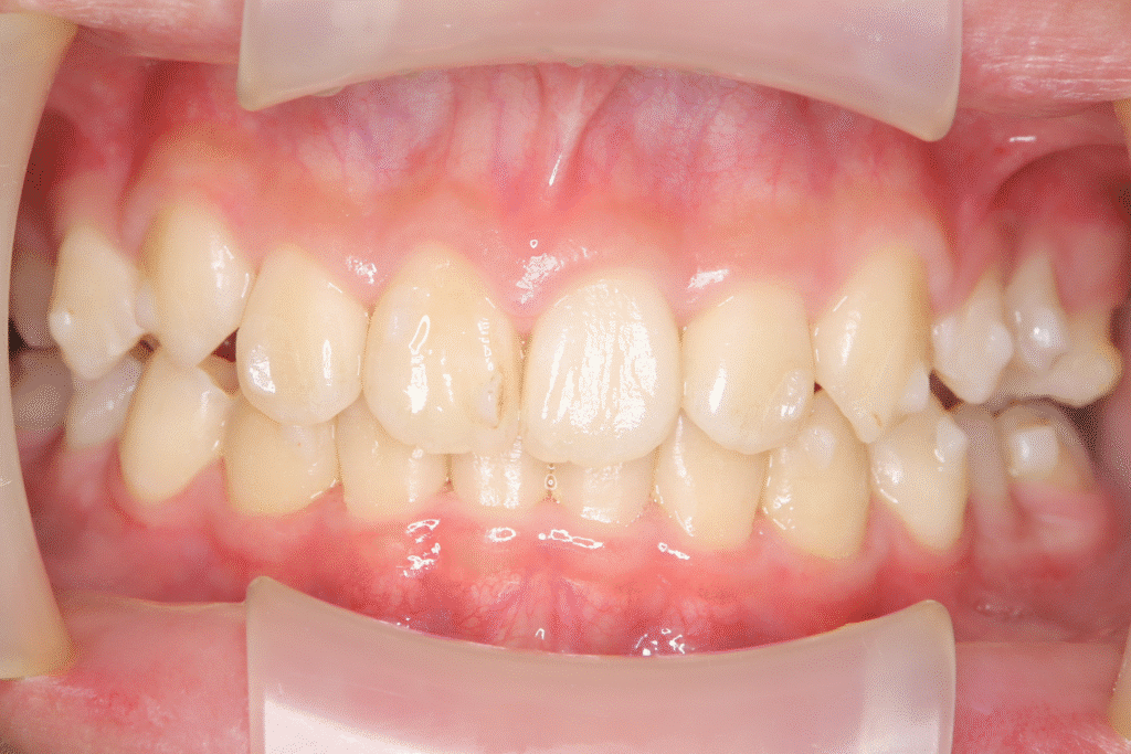
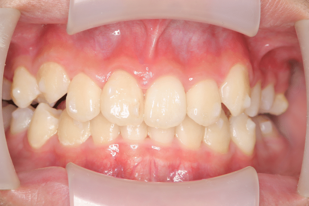
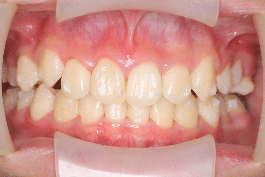
上顎前突(10歳7ヶ月)
開始後0ヶ月
▼
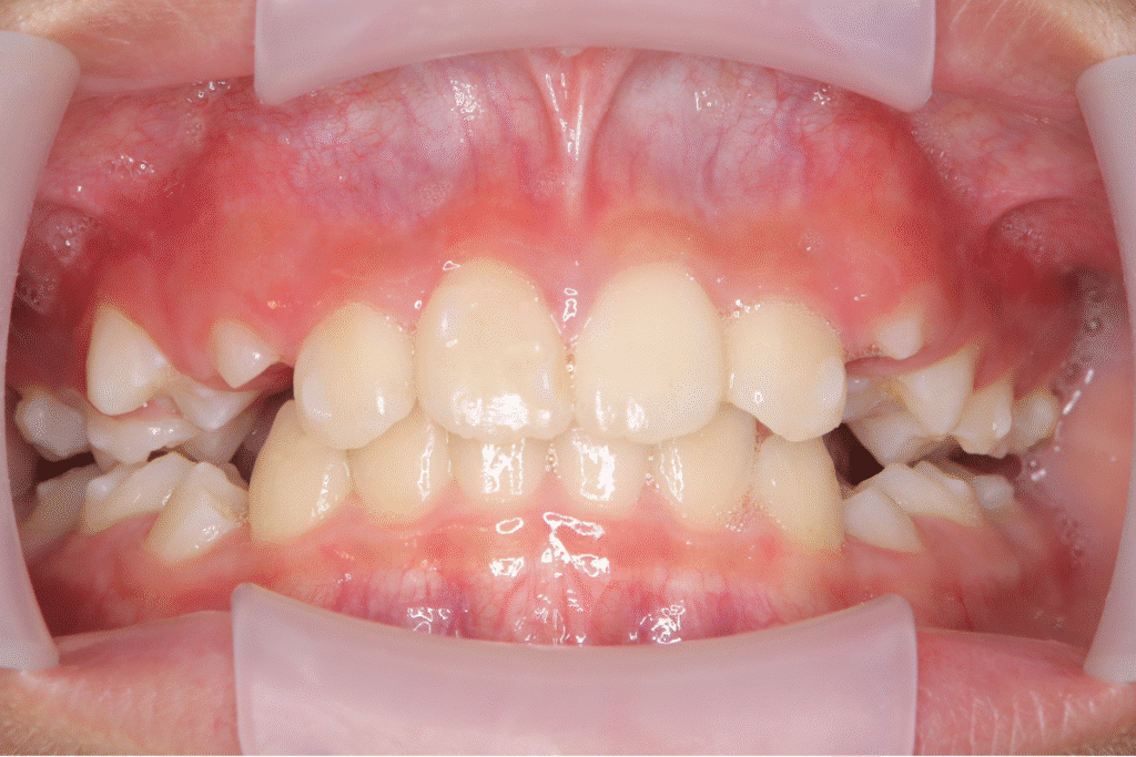
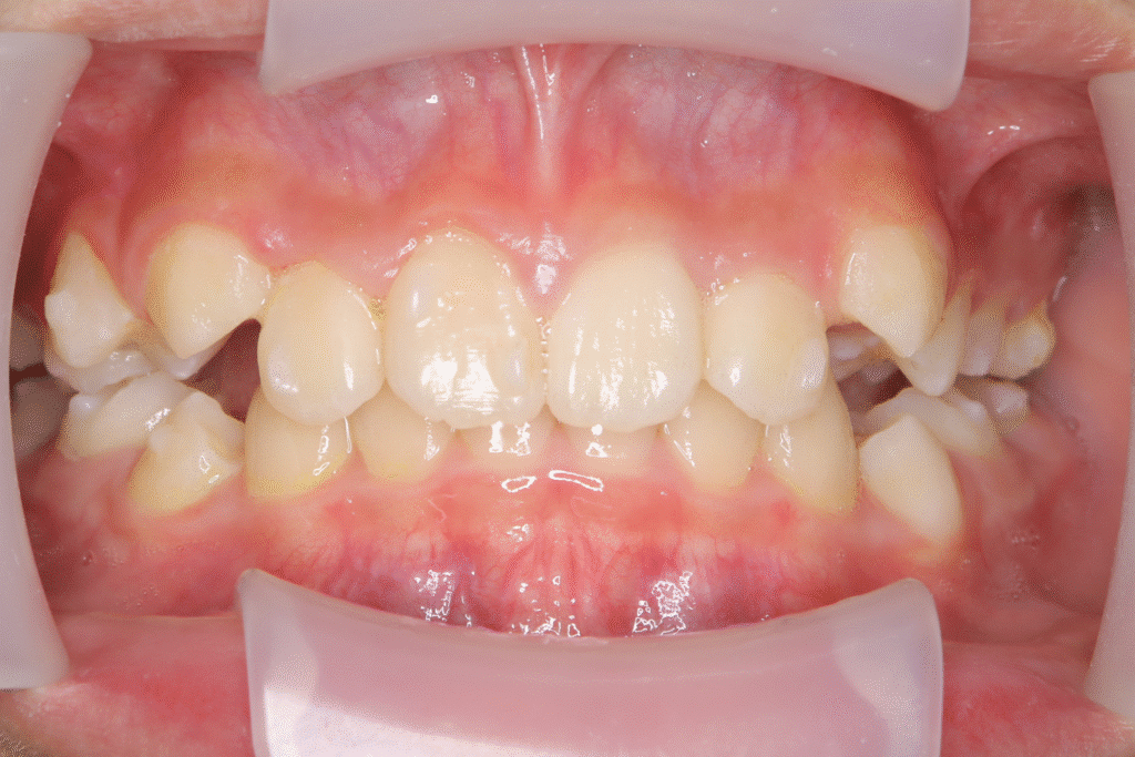
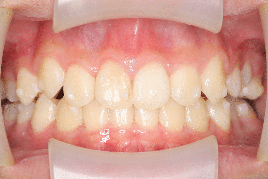
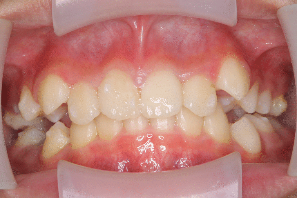
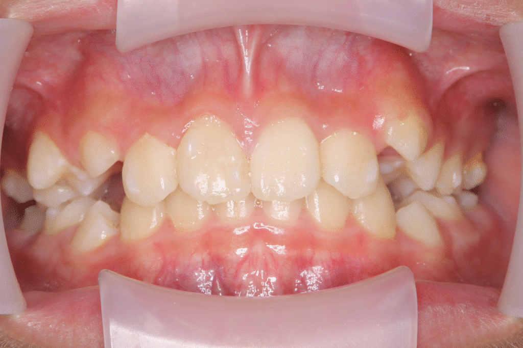
上顎前突(10歳8ヶ月)
開始後0ヶ月
▼
上顎前突(10歳9ヶ月)
開始後2ヶ月
▼
上顎前突(10歳11ヶ月)
開始後3ヶ月
▼
上顎前突(11歳0ヶ月)
開始後5ヶ月
▼
上顎前突(11歳1ヶ月)
開始後6ヶ月
▼
上顎前突(11歳2ヶ月)
開始後6ヶ月
▼
上顎前突(11歳3ヶ月)
開始後8ヶ月
▼
上顎前突(11歳4ヶ月)
開始後9ヶ月
▼
上顎前突(11歳5ヶ月)
開始後10ヶ月
▼
上顎前突(11歳7ヶ月)
開始後11ヶ月
▼
上顎前突(11歳8ヶ月)
開始後12ヶ月
▼
上顎前突(11歳9ヶ月)
開始後14ヶ月
▼
上顎前突(11歳10ヶ月)
開始後15ヶ月
▼
上顎前突(12歳0ヶ月)
開始後16ヶ月
▼
上顎前突(12歳2ヶ月)
開始後18ヶ月
▼
上顎前突(12歳4ヶ月)
開始後20ヶ月
▼
上顎前突(12歳5ヶ月)
開始後21ヶ月
▼
上顎前突(12歳7ヶ月)
開始後23ヶ月
▼
上顎前突(12歳8ヶ月)
開始後24ヶ月
▼
上顎前突(12歳9ヶ月)
開始後26ヶ月
▼
上顎前突(12歳11ヶ月)
開始後27ヶ月
▼
上顎前突(13歳1ヶ月)
開始後29ヶ月
▼
上顎前突(13歳2ヶ月)
開始後31ヶ月
▼
上顎前突(13歳3ヶ月)
開始後33ヶ月
▼
上顎前突(13歳4ヶ月)
開始後34ヶ月
▼
上顎前突(13歳5ヶ月)
開始後35ヶ月
▼
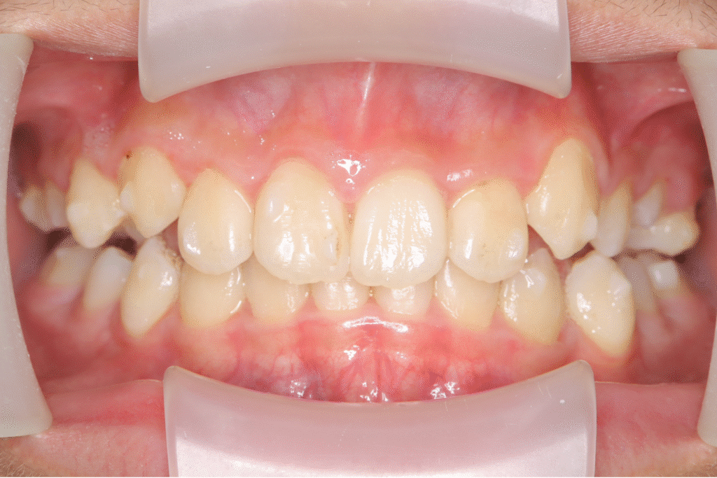
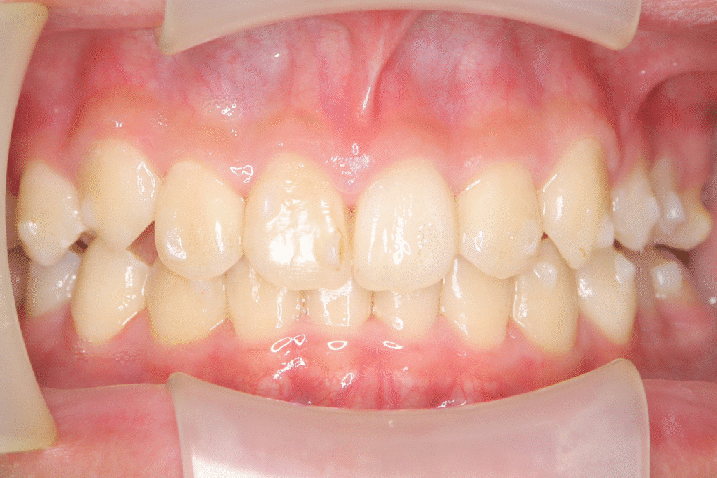
上顎前突(13歳7ヶ月)
開始後36ヶ月
▼
上顎前突(13歳8ヶ月)
開始後37ヶ月
▼
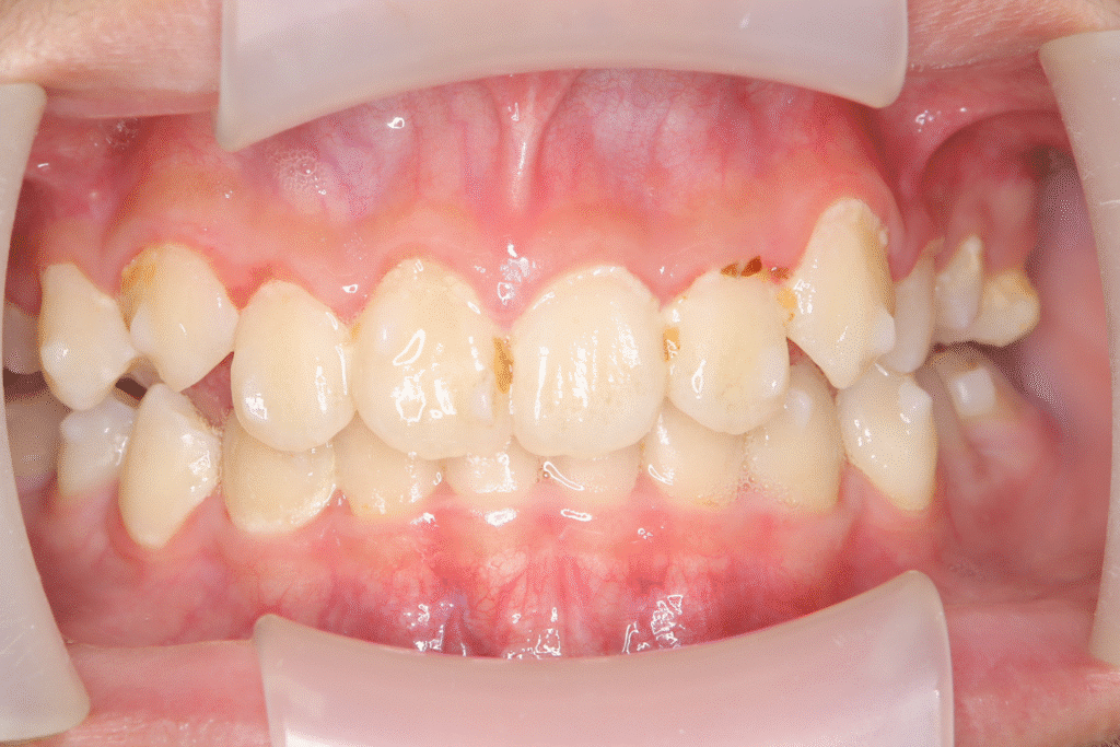
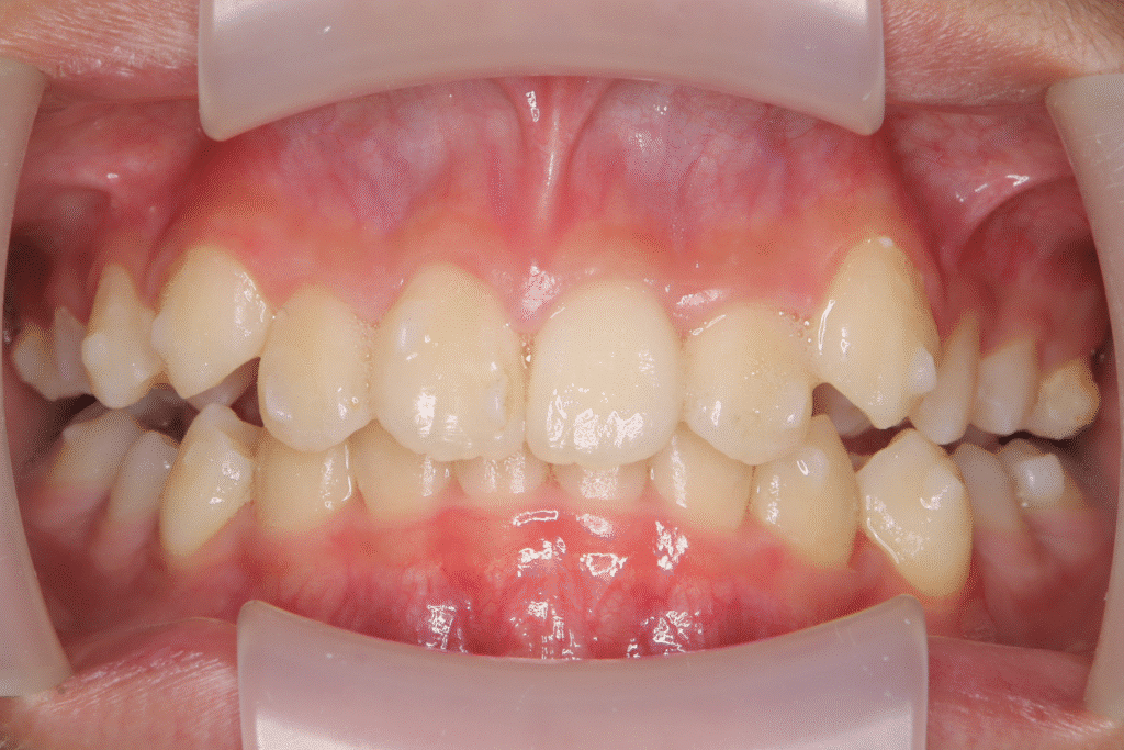
上顎前突(13歳9ヶ月)
開始後39ヶ月
▶
▶
▶
【まとめ】
症状:上顎前突
期間:3年3か月
開始年齢:(10歳7ヶ月)~
終了年齢:(13歳9ヶ月)
費用の概算:70〜90万
注意事項:
・掲載された症例は一例であり、全ての患者に同様の結果を保証するものではありません
・症例ごとに治療方法や結果が異なります
・治療効果には個人差があり、装置の使用時間で効果が変わります
※その他注意事項は小児矯正のリスク・副作用と注意点に記載
よくある質問(上顎前突の症例:インビザライン+筋機能療法)
10歳7ヶ月から始めるのは遅いor早い?最適なタイミングは?
小学校高学年は、混合歯列から永久歯列へ移行する重要な時期です。
成長を活かしつつ適応を見極めるために、まずは年代別の考え方を6〜12歳の矯正情報(小学生)でご確認ください。
装置の選択肢は年齢と歯の萌出状況で変わります(例:後期〜中高生向けのインビザライン)。
「出っ歯(上顎前突)」の原因は?家庭で気をつけることは?
指しゃぶりや口呼吸、舌の位置など、生活習慣や機能が関与することがあります。
背景の整理は不正咬合の3つの原因、対処は「指しゃぶり完全ガイド」をご参照ください。
インビザラインで上顎前突はどこまで改善できますか?
適切な計画と装着管理で前歯の傾斜や噛み合わせの改善が期待できます。疾患の基礎は出っ歯(上顎前突)とは?、プランの違いは子ども向けインビザライン全プラン解説をご覧ください。
ワイヤー矯正と比べて、子どもにインビザラインは有利?不利?
審美性・清掃性・痛みの出方・通院頻度など、それぞれにメリットデメリットがあります。
違いはインビザラインとワイヤー矯正の違いで整理しています。
上の歯だけ「部分矯正」で治せますか?
見た目が上だけでも、噛み合わせや下顎の誘導を踏まえ全体設計が必要なことが多いです。
判断基準は子どもの上の歯だけ部分矯正のメリットをご参照ください。
横顔(Eライン)はきれいになりますか?
前歯の傾斜や口唇閉鎖、舌・口呼吸の改善がプロファイルに影響します。
考え方の目安は子どもの横顔とEラインで解説しています。
なぜ「筋機能療法(MFT)」を併用するの?
上顎前突の維持安定には、舌の位置や嚥下・口唇閉鎖などの機能改善が鍵です。
トレーニング内容は筋機能トレーニング(MFT)や自宅でできる舌トレをご覧ください。
1日の装着時間は?「寝る時だけ」でも効果はありますか?
アライナーは基本的に長時間の装着管理が前提です。「寝る時だけ」で足りるのか迷う方は装着時間の注意点をご確認ください。
学校生活やスポーツ中は外すべき?
競技や安全面の確認は必要ですが、多くの場合は装着継続が可能です。
実践のコツはインビザラインは装着したままスポーツOK?をご参照ください。
型取りが苦手…。どんな方法で作るの?
当院では口腔内スキャナー(iTero)を用いたデジタル印象で負担を軽減します。
詳細はiTero(アイテロ)をご覧ください。
「前歯を押せば治る」は本当?
自己流で前歯を押す行為は歯や歯根、歯肉にダメージを与える恐れがあります。
根拠やリスクは子どもの出っ歯は押したら治る?でご確認ください。
痛みや装置トラブルが心配です
新しいアライナー装着直後は締め付け感が出ることがあります。
痛みの対処は小児矯正の痛みと対処法、よくある不具合の回避策はトラブル対処ガイドをご覧ください。
矯正の「リスク・副作用」も知っておきたい
歯根吸収・知覚過敏・虫歯/歯肉炎のリスクなどです。
まとめは小児矯正のリスク・副作用と注意点へ。
治療後の「後戻り」を防ぐには?
並べた後は適切な期間の保定装置(リテーナー)と、MFTの継続が重要です。
仕組みと対策は後戻りの原因と防ぎ方をご参照ください。
費用と支払い方法は?
費用の目安や含まれる内容は「料金プラン」をご確認ください。
当院はクレジットカードによるオンライン決済のみで、分割支払いには対応していません。
まずは何から始めればいい?(当院の初診フロー)
当院は初診の方は全員「電話カウンセリング」必須です。
手順ははじめての方へ|初診の流れをご確認のうえ、予約・お問い合わせから日程をご指定ください。
通院しやすい立地ですか?(田園調布/自由が丘/武蔵小杉方面など)
当院は東急東横線・目黒線「田園調布」から徒歩圏で、目黒区・世田谷区・(神奈川県)武蔵小杉からも通院しやすい立地です。
詳しくはアクセスをご覧ください。
ほかの症例や全体像も見たい
当院の治療イメージは症例一覧でご確認いただけます。
基礎知識は装置別のインビザライン(小児後期〜中高生)の解説もあわせてどうぞ。
※本症例は一例であり、結果・期間は個人差があります。最終的な治療方針は、検査・診断後にご提案します。
